当院の症例紹介
ジルコニアセラミック
-

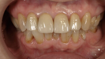
術前
-

術後
- ジルコニアセラミック
-
[治療内容] 左上1:ジルコニアセラミック修復 [主訴] 歯の色と形が気になる [目的] 見た目の改善 [副作用・リスク] セラミックが破折する可能性がある [治療期間(回数)] 約3ヶ月 [費用(税抜)] ¥140,000
-

術前
-

術後
- ジルコニア セラミック
-
[治療内容] 右上23、左上①2③ Br:ジルコニアセラミック修復 [主訴] 歯の色が気になる [目的] 虫歯治療と見た目の改善 [副作用・リスク] セラミックが破折する可能性がある [治療期間(回数)] 約半年 [費用(税抜)] ¥700,000(内訳 ジルコニアセラミック¥140,000×5本)
-

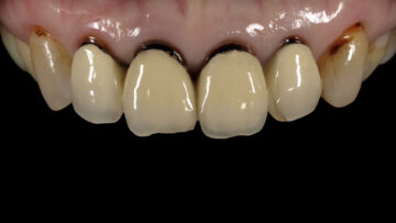
術前
-

術後
- ジルコニア セラミック
-
[治療内容] 左上1:ジルコニアセラミック修復 [主訴] 詰め物の色が気になる [目的] 虫歯治療と見た目の改善 [副作用・リスク] セラミックが破折する可能性がある [治療期間(回数)] 約2ヶ月 [費用(税抜)] ¥140,000
-

術前
-

術後
-

術前
-

術後
- ジルコニアセラミック
-
[治療内容] 右上1,2 左上1,2:ジルコニアセラミック修復 [主訴] 歯の色が気になる [目的] 虫歯治療と見た目の改善 [副作用・リスク] セラミックが破折する可能性がある [治療期間(回数)] 約4ヶ月 [費用(税抜)] ¥560,000(内訳 ジルコニアセラミック¥140,000×4本)
-

術前
-

術後
- ジルコニア セラミック
-
[治療内容] 上①1② Br:ジルコニアセラミック修復 [主訴] 他院で入れた仮歯の見た目が気になる [目的] 見た目の改善 [副作用・リスク] セラミックが破折する可能性がある [治療期間(回数)] 約4ヶ月 [費用(税抜)] ¥420,000(内訳 ジルコニアセラミック¥140,000×3本)
インプラント
-

術前
-

術後
-

術前
-

術後
- 矯正・インプラント
-
[治療内容] 全顎矯正治療+両側上2:インプラント治療(ジルコニアセラミック) [主訴] 見た目を改善したい [目的] 先天性欠如歯の部分を審美的・機能的に回復する [副作用・リスク] 術後疼痛、腫脹
インプラント周囲炎を予防するためにメインテナンスが必要
矯正後戻り[治療期間(回数)] 矯正治療約3年、インプラント治療約1年半 [費用(税抜)] ¥860,000(矯正治療), ¥920,000(CT診断料¥20,000、手術、仮歯、被せ物 ¥450,000×2本)
-

術前
-

術後
-

術前
-

術後
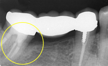
- インプラント
-
[治療内容] 右下6:インプラント治療 [主訴] 歯ぐきから根っこがみえているのを治したい [目的] 失った歯・歯肉の機能回復 [副作用・リスク] 術後疼痛、腫脹
インプラント周囲炎を予防するためにメインテナンスが必要[治療期間(回数)] 約12ヶ月 [費用(税抜)] ¥520,000(CT診断料、手術、被せ物)
-

術前
-

術後
-

術前
-

術後
- インプラント
-
[治療内容] 右下6:インプラント治療 [主訴] 歯のないところを治したい [目的] 失った歯の機能回復 [副作用・リスク] 術後疼痛、腫脹
インプラント周囲炎を予防するためにメインテナンスが必要[治療期間(回数)] 約9ヶ月 [費用(税抜)] ¥420,000(CT診断料、手術、被せ物)
ダイレクトボンディング
-

術前
-

術後
- ダイレクトボンディング
-
[治療内容] 右上1:ダイレクトボンディング [主訴] 前歯の詰め物の色が気になる [目的] 見た目の改善 [副作用・リスク] 強い衝撃により欠けることがある
長期的には変色する可能性がある[治療期間(回数)] 約2回 [費用(税抜)] ¥50,000
-

術前
-

術後
- ダイレクト ボンディング
-
[治療内容] 右上45:ダイレクトボンディング [主訴] 歯の銀色が気になる [目的] 金属をなくす [副作用・リスク] 強い衝撃によりかけることがある
長期的には変色する可能性がある[治療期間(回数)] 約2回 [費用(税抜)] ¥70,000(内訳 ¥35,000×2本)
-

術前
-

術後
- ダイレクト ボンディング
-
[治療内容] 右上1左上1:ダイレクトボンディング [主訴] 前歯の隙間が気になる [目的] 前歯の隙間を封鎖する [副作用・リスク] 強い衝撃によりかけることがある
長期的には変色する可能性がある[治療期間(回数)] 約2回 [費用(税抜)] ¥70,000(内訳 ¥35,000×2本)
ホワイトニング
-

術前
-

術後
- ホワイトニング
-
[治療内容] 全顎:ホワイトニング(ホーム) [主訴] 歯の色を白くしたい [目的] 見た目の改善 [副作用・リスク] 知覚過敏
色調の後戻り[治療期間(回数)] 約2ヶ月 [費用(税抜)] ¥33,000
歯周基本治療
-

術前
-

術後
- 歯周基本治療
-
[治療内容] 全顎:歯周基本治療 [主訴] 歯ぐきから血が出る [目的] 歯周病の治療 [副作用・リスク] 知覚過敏、歯肉退縮 [治療期間(回数)] 約2ヶ月 [費用(税抜)] ¥10,000(保険治療3割負担)
歯周組織再生療法
-

術前
-

術後
- 歯周組織再生療法
-
[治療内容] 右下4:歯周組織再生療法 [主訴] 右下の歯ぐきが腫れている [目的] 歯周病で喪失した歯周組織の再生 [副作用・リスク] 術後疼痛、知覚過敏
歯肉退縮[治療期間(回数)] 約半年(手術は1回) [費用(税抜)] ¥75,000
-

術前
-

術後
- 歯周組織再生療法
-
[治療内容] 右下7:歯周組織再生療法 [主訴] 右下の歯ぐきが痛い [目的] 歯周病で喪失した歯周組織の再生 [副作用・リスク] 術後疼痛、知覚過敏
歯肉退縮[治療期間(回数)] 約半年(手術は1回) [費用(税抜)] ¥75,000
根面被覆術
-

術前
-

術後
- 根面被覆術
-
[治療内容] 右上345:根面被覆術 [主訴] 歯ぐきが下がっている [目的] 見た目の改善、歯肉の厚みの改善 [副作用・リスク] 術後疼痛、知覚過敏
移植片の壊死、歯肉退縮[治療期間(回数)] 約半年(手術は1回) [費用(税抜)] ¥80,000
ガムピーリング(歯肉の漂白)
-

術前
-

術後
- ガムピーリング(歯肉の漂白)
-
[治療内容] 歯肉:ガムピーリング [主訴] 歯ぐきが黒いのが気になる [目的] 歯ぐきの色調改善 [副作用・リスク] 術後疼痛 [治療期間(回数)] 約1回 [費用(税抜)] ¥10,000
-

術前
-

術後
- ガムピーリング(歯肉の漂白)
-
[治療内容] 下顎前歯部:ガムピーリング [主訴] 歯ぐきの色が気になる [目的] 歯ぐきの色調改善 [副作用・リスク] 術後疼痛 [治療期間(回数)] 約1回 [費用(税抜)] ¥10,000