ジルコニアセラミック
-

術前
-

術後
- ジルコニア セラミック
-
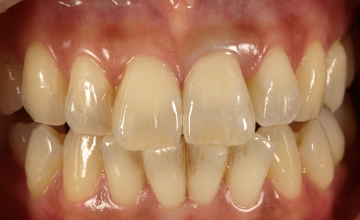
[治療内容] 左上1:ジルコニアセラミック修復 [主訴] 詰め物の色が気になる [目的] 虫歯治療と見た目の改善 [副作用・リスク] セラミックが破折する可能性がある [治療期間(回数)] 約2ヶ月 [費用(税抜)] ¥140,000

術前

術後
| [治療内容] | 左上1:ジルコニアセラミック修復 |
|---|---|
| [主訴] | 詰め物の色が気になる |
| [目的] | 虫歯治療と見た目の改善 |
| [副作用・リスク] | セラミックが破折する可能性がある |
| [治療期間(回数)] | 約2ヶ月 |
| [費用(税抜)] | ¥140,000 |